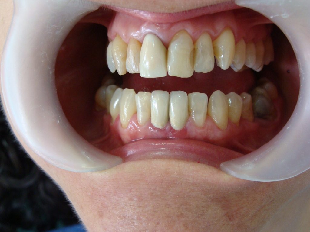
Antes y después

Nuestros mejores casos de estética dental
Cómo Betzoid España Rastrea la Evolución del Pronóstico Deportivo